eZSimulator for PC Windows

eZSimulator for Windows

Education For all ages For all ages
1 Free
- Needling training for ultrasound guided procedures - Improve skills quickly - Intuitively learn two-hands-eye coordination - Simulate dynamics between probe and needle over realistic images - Virtual needle using augmented reality technology - Train probe/needle alignment

Overview

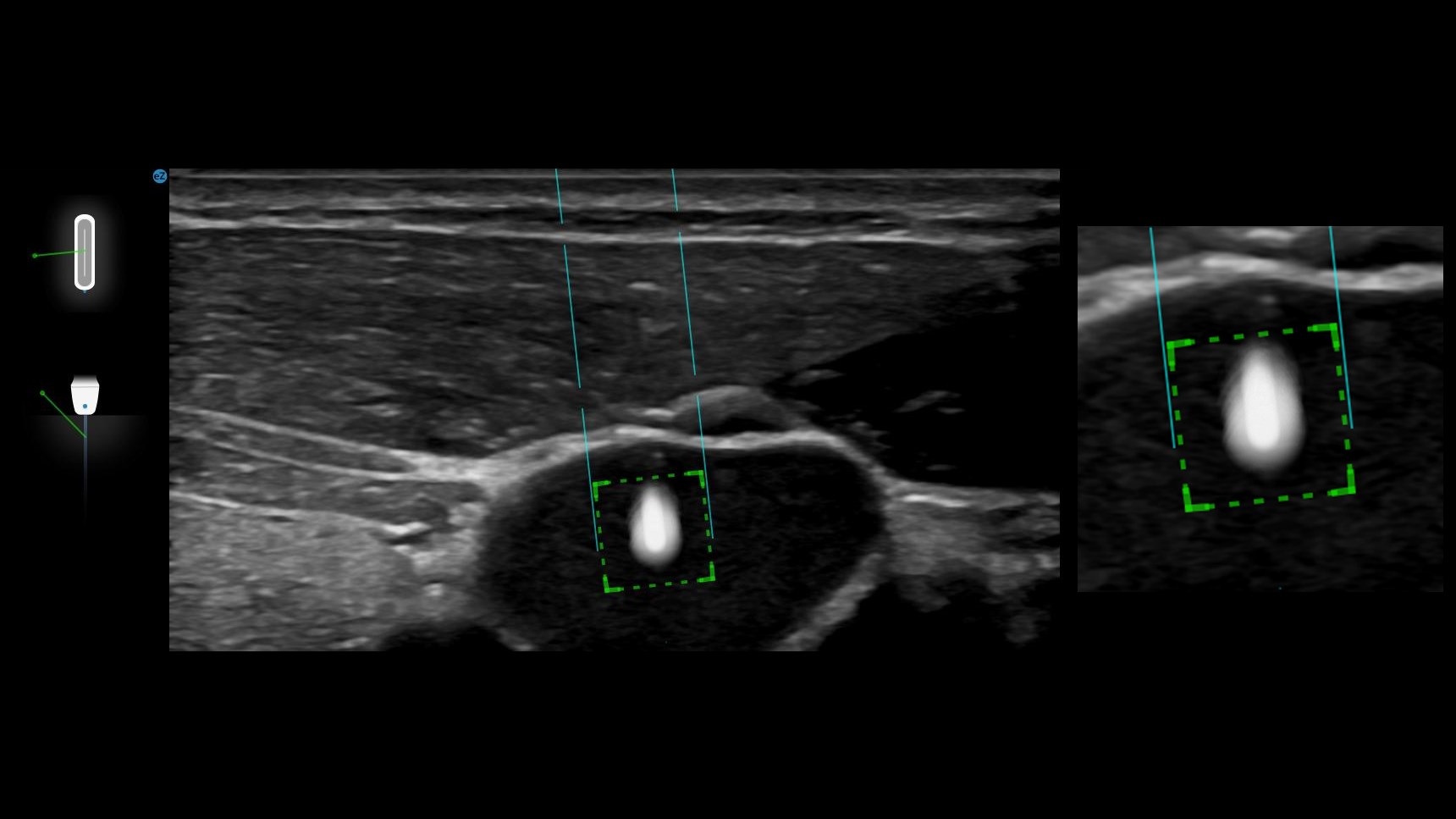
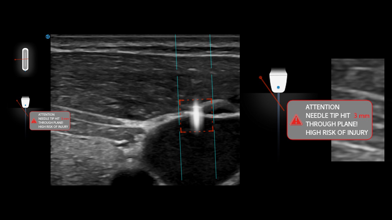
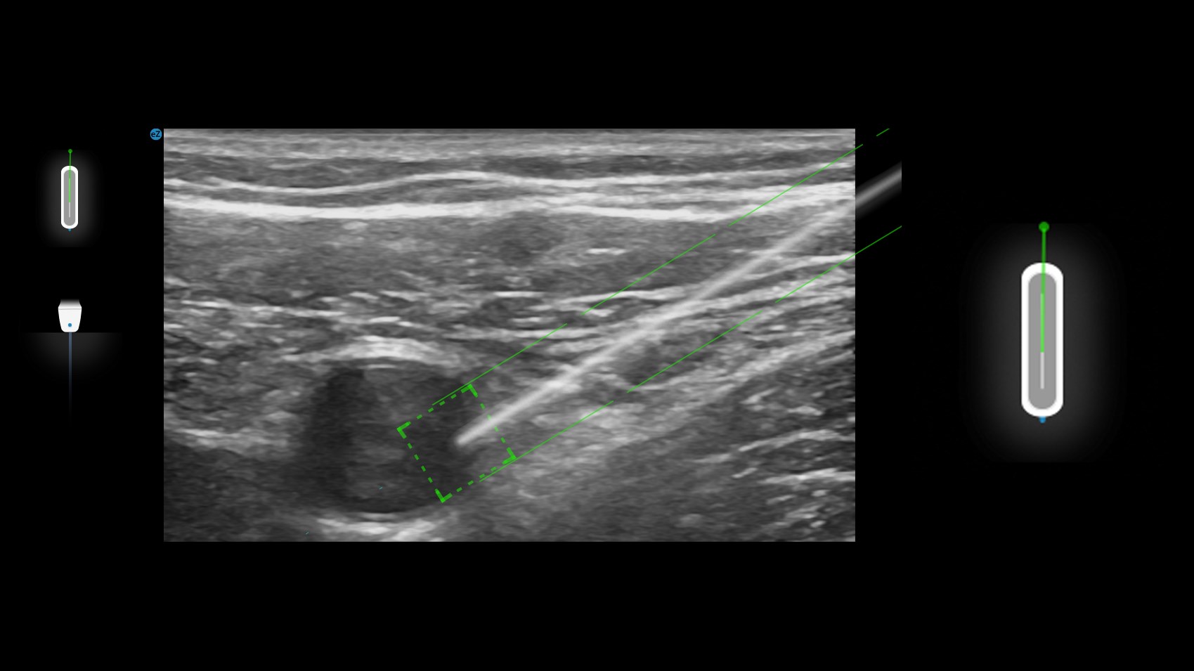
The eZSimulator is a unique PC based training tool for ultrasound guided procedures. It consists of a virtual ultrasound probe peripheral and software using eZono’s eZGuide® technology that is able to detect needles in free space and to display them over a training image. It simulates the probe-needle coordination in real application scenarios without the need of an ultrasound systems or special phantoms. By using the eZSimulator you will learn In-Plane and Out-Of-Plane needle technique in a realistic environment with a large image library and plenty of tutorials. Visit www.ezono.com/shop to order your eZGuide® USB Probe. - Needle Navigation: Intuitive training of two-hands-eye coordination with eZono’s eZGuide® needle navigation - Training Images: Training over various actual clinical images - Cue Cards: Intuitive learning of sono-anatomy and needle procedures - Video Tutorials: Video guide for the needle procedure of each application Available applications: - Basic NGS Out-Of-Plane - Basic NGS In-Plane - CVC-Adult - Interscalene Brachial Plexus Block - Axillary Brachial Plexus Block - Femoral Nerve Block - Distal Sciatic Nerve Block

Features

Quick and intuitive learning of two-hands-eye coordinationLower the learning curve barriers for sono-anatomy and needling skillsImprove technical skills for In-Plane and Out-Of-Plane approachesIncrease patient safety by improving trajectory planning skillsEnhance the first attempt success rateImprove ability to control the needle tip positionImprove capacity to avoid dangerous situationPractice using actual clinical cases without expensive phantoms or cadaversEffective and affordable training tool to reduce the learning expenses

What's new

Introducing eZAnalytics including: - Creation and Management of Trainee Profiles - Navigating Interactive Targets and Anatomical Avoidance - Building Skills by Reviewing Previous Needling Experiences - Real-Time Feedback for Steady Probe Positioning - Integrated Video Recording for skill assessment - Exploring Performance through a 3D model - Reporting and Performance Analysis eZAnalytics needs to be purchased separately - www.ezono.com for more details

Additional Information

  • Developed by eZono AG
  • Version 2024.08.16
  • Requires

    Available on: PC

    OS: Windows 10 version 18362.900 or higher

    Mouse: Integrated Mouse

    Memory: 8 GB

    Keyboard: Integrated Keyboard

    Processor: Intel Core i5

    Notes: eZGuide® USB Probe

  • Published 2021-03-26
  • Size 242.62 MB
  • File Type appx/msix
  • Language
    English (United Kingdom)
  • Permissions

    Uses all system resources

    Access your USB connected devices

  • Microsoft Store ID 9mtcrz0sk2hf

How to download and install eZSimulator from the Microsoft

To download and install eZSimulator for PC from Microsoft, here are two methods you can follow. - Needling training for ultrasound guided procedures - Improve skills quickly - Intuitively learn two-hands-eye coordination - Simulate dynamics between probe and needle over realistic images - Virtual needle using augmented reality technology - Train probe/needle alignment. You can access the app directly on the Microsoft Store.

Method 1: Download and Install via the Microsoft Store

This is the most straightforward and secure way to get eZSimulator.

Step 1: Open the Microsoft Store

  • Click the Start Menu (Windows logo) at the bottom-left corner of your screen.
  • Search for Microsoft Store in the search bar and open it.
  • Step 2: Search for eZSimulator

  • In the Microsoft Store, type eZSimulator into the search bar at the top and press Enter.
  • Select the app from the search results to open its detail page.
  • Step 3: Download and Install

  • Click the Get button (if the app is free) or Install to begin the download.
  • The app will automatically install after the download is complete.
  • Step 4: Access the App

  • Once installed, you can find eZSimulator in your Start Menu or Apps List.
  • Open the app and follow the on-screen instructions to use.
  • Method 2: Download from the Official Microsoft Website

    If you prefer downloading directly from the web, you can use the official Microsoft website.

    Step 1: Visit the eZSimulator Page

  • Open your browser and go to the eZSimulator page
  • Step 2: Download the App

  • Click the Get in Store app button on the webpage.
  • This will redirect you to the Microsoft Store app on your PC.
  • Step 3: Install eZSimulator

  • Follow the same steps as in Method 1 to download and install eZSimulator.
  • Step 4: Use eZSimulator

  • Launch eZSimulator from your Start Menu or Apps List.
  • Tips for a Smooth Installation

  • Ensure your PC is connected to the internet.
  • Keep your Windows operating system updated for the best performance.
  • Conclusion:

    Both methods ultimately utilize the Microsoft Store, ensuring the app's safety and reliability. Whether you prefer browsing within the Store or starting via the website, both approaches lead you to successfully download and install eZSimulator.
    eZSimulator for PC Windows

    eZSimulator for PC

    1 Free

    eZSimulator FAQs

    How to download and Install eZSimulator on Windows PC via the NWindows Store
    How to Search and Download eZSimulator for PC Windows?

    Old versions

    eZSimulator 2024.08.16

    EXE
    MSIX
    APPX
    32 bit
    64 bit
    2024-08-16

    eZSimulator for PC Windows

    Share this app